產品中心Cell Resources
聯系我們CONTACT US
18225607483
24小時服務熱線
355185756@qq.com銷售郵箱
產品詳情
切片用紅氨酸乙醇醋酸鈉液處理后,若有過量的銅離子存在時,銅與紅氨酸結合形成深綠黑色的紅氨酸銅鹽沉淀。鎳和鈷經過紅氨酸乙醇處理后也生成紅氨酸鹽沉淀,但紅氨酸在有醋酸鹽存在時可阻斷鎳和鈷與紅氨酸結合而不形成沉淀。
| 貨 號 | 名 稱 | 規 格 | 價 格(元) |
| PY-10616 | 紅氨酸銅染色 | 張 | 50 |
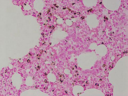
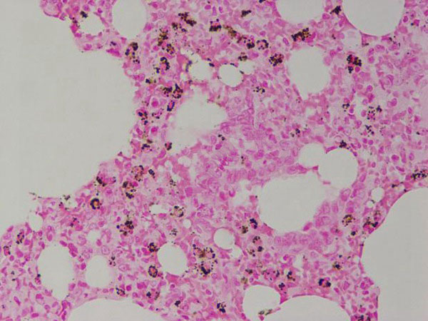
實驗結果展示:
紅氨酸銅染色-大鼠肺
實驗流程:
脫蠟至水-染液配制染色--核固紅復染--脫水封片-顯微鏡鏡檢。
結果判讀:
銅鹽沉積處呈深綠黑色,細胞核呈紅色。
送樣運輸要求:
1.樣本放置于20倍樣本體積的固定液中固定24h以上,常溫運輸送樣。
切勿固定時間過長,切勿冷凍結冰。
2.石蠟切片常溫運輸,冰凍切片-20℃運輸。







