產品中心Cell Resources
聯系我們CONTACT US
18225607483
24小時服務熱線
355185756@qq.com銷售郵箱
產品詳情
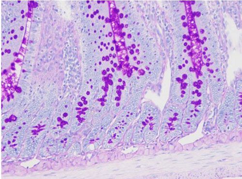
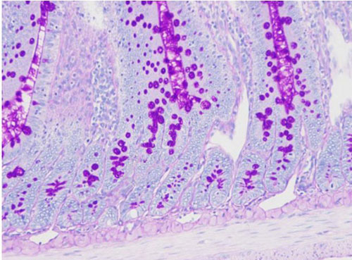
PAS染色又稱過碘酸雪夫染色,糖原染色。一般用來顯示糖元和其它多糖物質。過碘酸能使細胞內的多糖乙二醇基氧化成二醛,再與Schiff氏液的無色品紅結合,紅色,定位于胞漿上
| 貨號 | 名稱 | 規格 | 價格(元) |
| PY-10613 | PAS染色 | 張 | 30 |
實驗結果展示:
PAS染色—小鼠腸
實驗流程:
脫蠟至水-高碘酸酸化-純水洗凈-雪弗避光染色-流水顯色-脫水封片
結果判讀:
糖原、中性粘液物質、軟骨基質、植物的真菌和細胞壁、上皮的基膜等均呈紫紅色,細胞核淺藍色
送樣運輸要求:
1.樣本放置于20倍樣本體積的固定液中固定24h以上,常溫運輸送樣。
切勿固定時間過長,切勿冷凍結冰。
2.石蠟切片常溫運輸,冰凍切片-20℃運輸。







