產品中心Cell Resources
聯系我們CONTACT US
18225607483
24小時服務熱線
355185756@qq.com銷售郵箱
產品詳情
VonKossa’s礦化結節染色法原理是將礦化基質中的磷酸鹽(鈣)、碳酸鹽(鈣)轉變為磷酸銀、碳酸銀,然后用日光、紫外線或強還原劑使其還原為黑色的金屬銀。可用以觀察組織中鈣的分布和鈣含量多少的檢測。
| 貨號 | 名稱 | 規格 | 價格(元) |
| PY-1063 | vonkossa染色 | 張 | 35 |
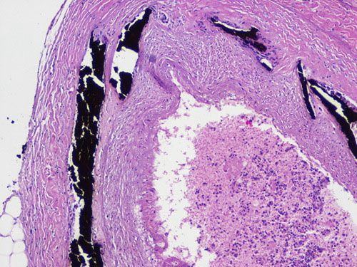
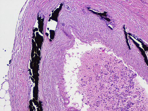
實驗結果展示:
Vonkossa染色-大鼠血管
實驗流程:
脫蠟至水-vonkossa染色-脫水封片-顯微鏡鏡檢
結果判讀:
鈣鹽沉積區域呈黑色,細胞核呈藍色,背景紅色
送樣運輸要求:
1.樣本放置于20倍樣本體積的固定液中固定24h以上,常溫運輸送樣。
切勿固定時間過長,切勿冷凍結冰。
2.石蠟切片常溫運輸,冰凍切片-20℃運輸。







