產品中心Cell Resources
聯系我們CONTACT US
18225607483
24小時服務熱線
355185756@qq.com銷售郵箱
產品詳情
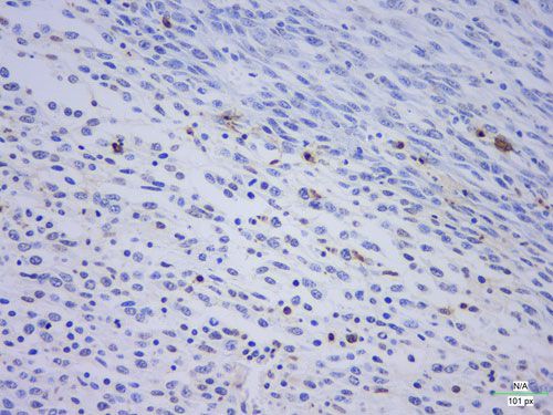
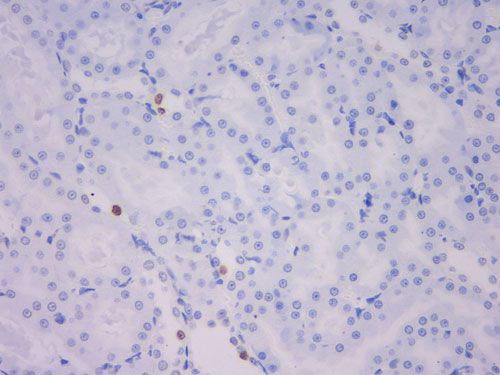
晚期凋亡細胞中染色體DNA雙鏈或單鏈斷裂產生粘性3'-OH末端,在脫氧核糖核苷酸末端轉移酶(TdT)的催化下,將帶有生物素(Biotin)分子的dUTP,標記到DNA的3'-末端,隨后和辣根過氧化物酶(HRP)標記的鏈酶親和素Streptavidin (Streptavidin-HRP)結合,最后通過DAB顯色來顯示凋亡細胞,從而可以通過普通光學顯微鏡檢測到凋亡的細胞,這就是TUNEL(TdT-mediated dUTP Nick-End Labeling)法檢測細胞凋亡的原理。
|
貨號 |
名稱 |
規格 |
價格(元) |
|
FY-07229 |
TUNEL(白光)檢測 |
張 |
130 |
實驗結果展示:
TUNEL(白光)檢測-小鼠腫瘤
TUNEL(白光)檢測-小鼠腎
實驗流程:
脫蠟至水--蛋白酶K修復--破膜通透--孵育tunel反應液--孵育POD反應液-- DAB顯色--蘇木素染核--脫水封片--鏡檢拍照
送樣運輸要求:
石蠟切片常溫、冰凍切片-20℃、固定后細胞爬片4℃








