產品中心Cell Resources
聯系我們CONTACT US
18225607483
24小時服務熱線
355185756@qq.com銷售郵箱
產品詳情
實驗中最常用的是普通光學顯微鏡的油鏡。油鏡鏡頭透鏡小,因此進入鏡筒的光線極少。為了增加亮度,須在標本片與鏡頭之間滴加香柏油。因為香柏油的折光率與玻片很接近,可以盡量避免通過聚光器進入玻片的光線因折射而丟失,從而使得視野中的物像更加清晰。
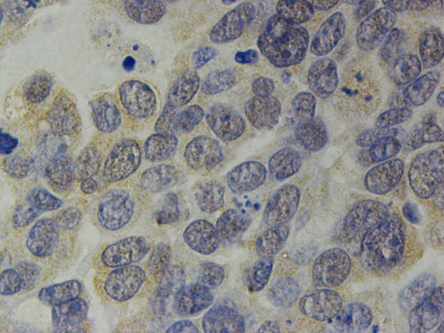
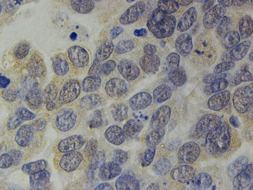
正置顯微鏡型號:NIKON Eclipse ci;軟件:NIS_F_Ver43000_64bit_E;成像系統:NIKON digital sight DS-FI2。1000×放大倍數。
| 貨號 | 名稱 | 規格 | 價格(元) |
| BY-80119 | 拍照(油鏡) | 6張圖片/張 | 30 |
實驗結果展示:

實驗流程:
(1)樣片接收:石蠟切片、細胞爬片、冰凍切片等
(2)實驗步驟:按要求選擇相應視野以及倍數拍照
(3)實驗結果:圖片×6(1000×6)
注意事項:
(1) 拍照倍數1000×;
(2) 默認圖片格式JPG,可備注TIF格式保存;
(3) 默認圖片分辨率大小為1280*960或1440*1024;
(4) 默認圖片不加標尺,需要請在交接單上注明。也可后期在圖片的基礎上加;
(5) 如無拍照要求,即按常見的部位拍,例如:肝中央靜脈、腦皮層海馬、腎小球等,特殊染色以及免疫組化陽性部位。
送樣運輸要求:
切片盒保存運輸。








