產品中心Cell Resources
聯系我們CONTACT US
18225607483
24小時服務熱線
355185756@qq.com銷售郵箱
產品詳情
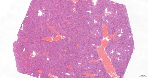
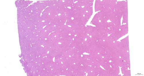
在顯微鏡下瀏覽切片或瀏覽數字切片,在不同倍數下詳細觀察組織切片情況,對切片中基本病理改變如充血、淤血、出血、水腫、變性、壞死、增生、纖維化、機化、肉芽組織、炎性變化等情況文字描述,并反映出片子之間的差異。對典型病變部位成像并在word文檔中用箭頭標識。報告大致分為四種類型,均需要提供《病理檢查送樣單》。
□病理描述類:
每張切片提供相應典型視野圖片(低倍和高倍),描述病理變化,并在word文檔中用不同顏色箭頭標注其典型病變特征。常用于需要對每張片子病理變化清楚展示或者無明確評分標準的情況。
□病理評分類:
每張切片提供相應病理評分(評分標準需由客戶提前提供;如果無評分標準且客戶確認后,可以由輕度到重度對病理改變進行主觀打分),按分組提供相應典型視野圖片,描述病理變化,并在word文檔中用不同顏色箭頭標注其典型病變特征。常用于已有特定評分標準或要對病理改變量化統計。
□病理描述+評分類:
既要每張切片都提供典型圖片描述并標注,又要每張進行評分,需增加50%費用。
□病理診斷類:
根據提供的送樣單上信息,給出具體判斷結果,并提供判斷典型圖。適用于動物腫瘤定性,家禽疾病診斷等。
| 貨號 | 名稱 | 規格 | 價格(元) |
| BY-80115 | 病理分析 | 張 | 55 |
實驗結果展示:
實驗流程:
根據《病理檢查送樣單》上的信息鏡檢→記錄病理改變→選取典型視野→按要求整理報告。
注意事項:
1、 送樣前盡量能夠提供清楚相關文獻、分組信息、實驗背景以及目的,結果會更有針對性。
2、拍照倍數一般選擇更好的體現病理改變為主,典型視野一般會選取低倍以及配套高倍視野。
送樣運輸要求:
無。








