產品中心Cell Resources
聯系我們CONTACT US
18225607483
24小時服務熱線
355185756@qq.com銷售郵箱
產品詳情
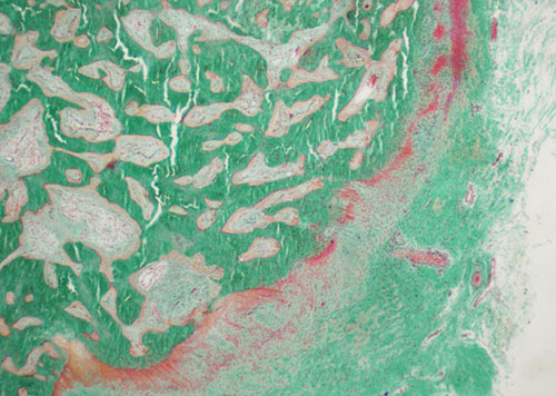
Goldner三色法染色主要針對骨組織的礦化骨與非礦化骨(類骨質)進行區分,其染色原理與陰離子染料分子的大小和組織的滲透性有關。未脫鈣骨組織切片經Goldner三色法染色后,礦化骨被染上綠色,非礦化骨(類骨質)會染上橙紅色,肌肉、胞質和紅細胞會染成紅色,胞核呈紫黑色或灰黑色。
| 貨號 | 名稱 | 規格 | 價格(元) |
| PY-106117 | 未脫鈣骨Goldner三色法染色 | 張 | 70 |
實驗結果展示:
未脫鈣兔骨 Goldner染色
未脫鈣兔骨 Goldner染色
實驗流程:
切片脫塑-Goldner染色-脫水封片-顯微鏡鏡檢
送樣運輸要求:
骨組織樣本置于20倍樣本體積的固定液中固定24h以上,常溫運輸送樣。
切勿固定時間過長,切勿冷凍結冰。








