產品中心Cell Resources
聯系我們CONTACT US
18225607483
24小時服務熱線
355185756@qq.com銷售郵箱
產品詳情
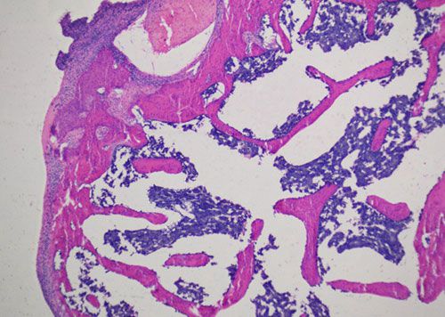
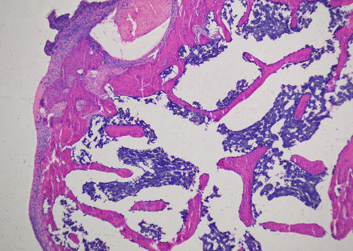
蘇木精-伊紅染色法 ( hematoxylin-eosin staining ),簡稱HE染色法,石蠟切片技術里常用的染色法之一,也可以用于未脫鈣骨硬組織切片。蘇木精染液為堿性,主要使細胞核內的染色質與胞質內的核糖體著紫藍色,伊紅為酸性染料,主要使細胞質和細胞外基質中的成分著紅色。HE染色法是組織學、胚胎學、病理學教學與科研中最基本、使用最廣泛的技術方法。
| 貨號 | 名稱 | 規格 | 價格(元) |
|
PY-10663 |
未脫鈣骨HE染色 | 張 | 20 |
實驗結果展示:
未脫鈣大鼠股骨HE染色
小鼠眼球硬組織切片HE染色
實驗流程:
切片脫塑-蘇木素染色-伊紅染色-脫水封片-顯微鏡鏡檢
送樣運輸要求:
組織樣本置于20倍樣本體積的固定液中固定24h以上,常溫運輸送樣。
切勿固定時間過長,切勿冷凍結冰。








